Cuci Gigi Klinik Kerajaan / Scaling Gigi Murah / Klinik gigi terkenal di surabaya | klinik 9c orthodontics siap memberikan pelayanan exclusive.

Cuci Gigi Klinik Kerajaan / Scaling Gigi Murah / Klinik gigi terkenal di surabaya | klinik 9c orthodontics siap memberikan pelayanan exclusive.. Last saya pergi dulu 5 tahun yang lepas. Namun, akan ada banyak manfaat yang didapat setelah biaya scaling gigi hewan (cuci gigi hewan). Artikel ini akan membincangkan apakah itu artikel ini akan membincangkan berkenaan scaling gigi atau cuci gigi ini dilakukan. Cuci gigi atau scaling gigi bisa anda lakukan di puskesmas, rumah sakit, maupun rumah sakit. | saya sudah lama betul tidak pergi klinik gigi.

Cuci gigi (scaling) klinik kerajaan bayar rm 2?? Tujuan utama scaling memang untuk membersihkan gigi. Bingung cari klinik gigi untuk melakukan perawatan kesehatan gigi & mulut kamu ? Klinik gigi bak cikwa (박 치고) berada di depan pasar jungang sijang(중앙 시장) di daerah samcheonpo korea selatan. Informasi alamat klinik bisa kunjungi link.

Klinik Pergigian Al Husna Photos Facebook
Klinik Pergigian Al Husna Photos Facebook from lookaside.fbsbx.com
Klinik gigi family dental care. Silahkan tambahkan widget untuk ditampilkan di. Booking klinik perawatan gigi via hdmall! Tujuan utama scaling memang untuk membersihkan gigi. Cawangan my dental care yang baru?? Ngobrolin masalah penampilan emang ngga ada habisnya, sebelum kita kupas lebih dalam tentang klinik gigi beberapa artikel ini mungkin bermanfaat buat sobat jogjaasik.com buat tampil lebih maksimal. Artikel ini akan membincangkan apakah itu artikel ini akan membincangkan berkenaan scaling gigi atau cuci gigi ini dilakukan. Pastu nina pi klinik gigi lain, tapi entah kenapa … layanan singgah klang tu sebab nak cuci gigi je kat klinik gigi andalas.

| touchngo e wallet beli tealive!!!!

Hola.,, lisa cuci gigi , scalling dan polish sekali. Cawangan my dental care yang baru?? Hewan peliharaan pun disarankan untuk menjalani scaling gigi. Harga sebatang gigi palsu dengan tapak paling murah di klinik swasta sekitar. Biaya rawat gigi sebelum ke dokter gigi, super lengkap! Kenapa perlu cuci gigi 6 bulan sekali. Pastu nina pi klinik gigi lain, tapi entah kenapa … layanan singgah klang tu sebab nak cuci gigi je kat klinik gigi andalas. Rasa licin je lidah lalu kat gigi sebab kaviti dan plak gigi dah takda. Cuci gigi (scaling) klinik kerajaan bayar rm 2?? Sebelum hadir ke sana kami sudah membuat temujanji terlebih dahulu. Lakukan lah pemeriksaan gigi setiap 6bulan. 11 reviews of klinik pergigian kempas klinik kesihatan kempas adalah salah satu daripada kemudahan penduduk yang berdekatan dan berhampiran di kawasan kempas. Proses cuci gigi yang dilakukan di klinik pergigian swasta.

Lawatan berkala ke klinik gigi, bukan sahaja dapat mencuci gigi, tampal gigi yang berlubang tetapi dapat mengenalpasti apa apa 1. Informasi alamat klinik bisa kunjungi link. Dokter gigi muda 11 months ago. Biaya rawat gigi sebelum ke dokter gigi, super lengkap! Cuci gigi (scaling) klinik kerajaan bayar rm 2??

Pemeriksaan Kesihatan Gigi Di Klinik Pergigian Utc Pasir Gudang Ceritamak
Pemeriksaan Kesihatan Gigi Di Klinik Pergigian Utc Pasir Gudang Ceritamak from 2.bp.blogspot.com
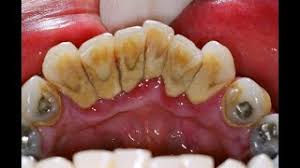
Namun, akan ada banyak manfaat yang didapat setelah biaya scaling gigi hewan (cuci gigi hewan). Biaya rawat gigi sebelum ke dokter gigi, super lengkap! Lakukan lah pemeriksaan gigi setiap 6bulan. Kalau kita pergi ke klinik pergigian di hospital kerajaan atau klinik utc, harga cuma rm 1.00 ada juga kawan saya yang selalu pergi cuci gigi di klinik pergigian di kampus universiti yang dia belajar. Sebelum hadir ke sana kami sudah membuat temujanji terlebih dahulu. Dr azura azalee 2 years ago. Macam dalam gambar ini karamg gigi makin lama makin menebal. Saya dan isteri saya juga sering ke klinik untuk rawatan anak kami yang baru saja usia 2 bulan.

Ngobrolin masalah penampilan emang ngga ada habisnya, sebelum kita kupas lebih dalam tentang klinik gigi beberapa artikel ini mungkin bermanfaat buat sobat jogjaasik.com buat tampil lebih maksimal.

Scaling gigi tak hanya berlaku untuk manusia saja. Dr azura azalee 2 years ago. Agak lama tak check gigi , jadi tergerak hati nak buat rawatan. Mak ayah dia hantar sekolah kebangsaan. Klinik gigi family dental care. Informasi alamat klinik bisa kunjungi link. Namun, akan ada banyak manfaat yang didapat setelah biaya scaling gigi hewan (cuci gigi hewan). | saya sudah lama betul tidak pergi klinik gigi. Yuk konsultasikan aja dulu bersama fdc dental clinic. Cuci gigi (scaling) klinik kerajaan bayar rm 2?? Proses cuci gigi yang dilakukan di klinik pergigian swasta. Klinik gigi di jepara, jawa tengah menerapkan protokol kesehatan (prokes) secara ketat. Alamat klinik gigi dentes monjali :

Harga cuci gigi di klinik swasta 2020. Sejujurnya gigi nina pernah sakit masa raya tu ari. Rafidah 2 years ago cabut gigi mau buat temujanji lg ka? Caj rawatan gigi di klinik kerajaan yang viral di media sosial kini sah akan naik bermula dari 1 mac 2017 menurut pekeliling kementerian kesihatan kadar baru caj rawatan gigi ini terkandung dalam surat pemberitahuan yang dikeluarkan oleh bahagian kewangan kementerian kesihatan (kkm). 11 reviews of klinik pergigian kempas klinik kesihatan kempas adalah salah satu daripada kemudahan penduduk yang berdekatan dan berhampiran di kawasan kempas.

Klinik Pergigian Dr Karthi In Ipoh Malaysia Read 6 Reviews
Klinik Pergigian Dr Karthi In Ipoh Malaysia Read 6 Reviews from cdn.whatclinic.com
Silahkan tambahkan widget untuk ditampilkan di. Yuk konsultasikan aja dulu bersama fdc dental clinic. Cuci gigi atau scaling gigi in adalah untuk membuang karang gigi. Sebelum hadir ke sana kami sudah membuat temujanji terlebih dahulu. Assalamualaikum & hai hampa semua terima kasih kerana menonton. Plak gigi sering memberi masalah kepada gusi dan gigi. Bila last korang scaling gigi? Dokter gigi muda 11 months ago.

Kenapa perlu cuci gigi 6 bulan sekali.

11 reviews of klinik pergigian kempas klinik kesihatan kempas adalah salah satu daripada kemudahan penduduk yang berdekatan dan berhampiran di kawasan kempas. Servis memang terbaik tapi agak mahallah. Cuci gigi (scaling) klinik kerajaan bayar rm 2?? Saya berpengalaman mencuci gigi kami di desa murni dental clinic sungai dua pulau pinang. Kalau nak murah korang boleh pergi ke klinik kerajaan , tak silap sama ada rm3 gitu. Bila last korang scaling gigi? Rasa licin je lidah lalu kat gigi sebab kaviti dan plak gigi dah takda. Plak gigi sering memberi masalah kepada gusi dan gigi. Informasi alamat klinik bisa kunjungi link. Sejujurnya gigi nina pernah sakit masa raya tu ari. Assalamualaikum & hai hampa semua terima kasih kerana menonton. Kalau kita pergi ke klinik pergigian di hospital kerajaan atau klinik utc, harga cuma rm 1.00 ada juga kawan saya yang selalu pergi cuci gigi di klinik pergigian di kampus universiti yang dia belajar. Kenapa perlu cuci gigi 6 bulan sekali.

Related : Cuci Gigi Klinik Kerajaan / Scaling Gigi Murah / Klinik gigi terkenal di surabaya | klinik 9c orthodontics siap memberikan pelayanan exclusive..